• 编号:16
  • 心芍・生命的双生花
  • 学生姓名: 李源
  • 所在单位: 心血管病研究所
  • 仪器型号: 激光共聚焦 Zeiss LSM880
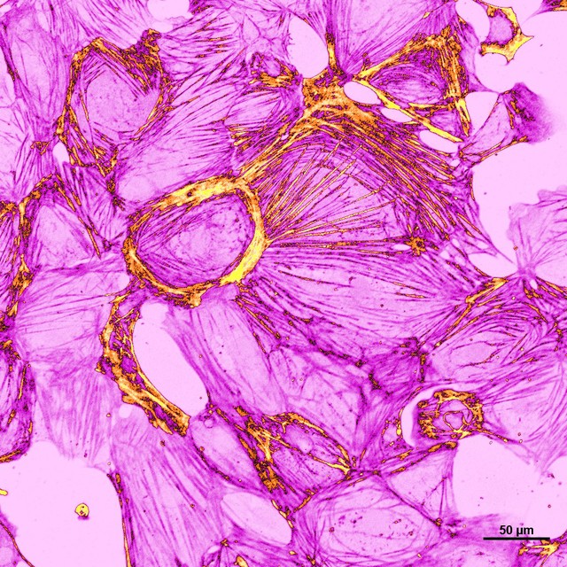
  • 作品说明:
    在细胞与自然的隐秘共鸣里,心肌细胞与芍药花,是生命写就的 “双生诗”。心肌细胞的肌丝如芍药的脉络,在微观世界里搏动着生命的韵律;芍药的花瓣似心肌的轮廓,在天地间舒展着生长的意志。从微观显微镜下的心肌细胞免疫荧光图里,瞥见了芍药花的影子——那粉紫的基底是芍药的裙摆,金色的肌丝是花芯的脉络,细胞核的环状结构恰如芍药的花蕊。心肌是守护生命节律的 “内在之花”,每一次收缩都是为生命续航的 “心跳绽放”;芍药是点缀世界的 “外在之花”,每一次盛开都是向自然致意的 “诗意生长”。它们一个在胸腔里托举生命的重量,一个在天地间晕染美的形状,却共享着 “结构的精巧” 与 “生命的热忱”,如一对隔了维度的双生花,在科学与艺术的交界,把 “活着” 的定义,写成了既铿锵又柔美的模样。注:原始样本为人诱导多能干细胞衍生的心肌细胞肌丝排列免疫荧光图。
Copyright 苏州大学 2016, All Rights Reserved 苏州市工业园区仁爱路199号704幢 组织策划:苏州大学分析测试中心 苏ICP备-10229414